Nasolabial Fold Filler Gone Wrong: Causes, Fixes & Prevention
21 August 2025
In this post:
- Nasolabial fold filler gone wrong is extremely preventable when injectors understand facial anatomy and know when not to inject these complex structures at all.
- The angular artery running through this region makes nasolabial folds one of the top four areas for vascular occlusion, with risks including tissue necrosis and filler blindness.
- Common causes include overfilling, inadequate facial assessment, and ignoring how filler restricts facial dynamics like the ‘Marge Simpson’ effect on lip elevation.
- Advanced correction techniques using ultrasound guidance can target specific problem areas while preserving beneficial effects from properly placed filler.
When a patient requests nasolabial fold filler, what they’re really asking for is a younger, more refreshed appearance. They fixate on those deepening smile lines, convinced they’re what’s making their face look older. What they don’t realise is that filling these lines with dermal filler is rarely the answer.
They expect the filler to fill in their smile lines, but what they get instead is an unnatural, overdone appearance that ages them even further and creates the telltale signs of obvious cosmetic work.
At the Smileworks Aesthetic Training HUB, we have too many times seen the aftermath of nasolabial fold filler gone wrong. It is one of the most common filler complications. The irony is these complications are extremely preventable when injectors have one simple thing: an understanding of facial anatomy.
Nasolabial folds aren’t just another wrinkle to be filled. They’re far more complex than that. Injectors need a comprehensive understanding of this area, and most importantly, the wisdom to know when not to inject them at all.

What are Nasolabial Folds?
Unlike dynamic wrinkles caused by repeated muscle movement, nasolabial folds result from a complex interplay of structural changes that occur from ageing. As our cheek pads deflate and descend, these folds deepen and become more pronounced. It’s the ageing that occurs in the surrounding areas of the face that cause these lines.
This anatomical complexity is precisely why treating nasolabial folds in isolation so often fails. When an injector only focuses on filling the fold itself, they’re only addressing a symptom rather than the underlying structural changes that created that fold. The result of isolated nasolabial fold treatment is an unnatural appearance that looks very obviously ‘done.’ No patient wants this.
The fold serves an important functional purpose, creating a natural separation between the cheeks and lip area. Completely filling in these lines creates a ‘bulldog’ appearance that immediately signals that person has had work done.
The Vascular Danger Zone
Nasolabial fold filler has risks behind just aesthetics. What makes complications particularly serious is the area’s underlying vascular anatomy. The angular artery, a critical facial vessel, runs directly through this region, making nasolabial folds one of the top four areas for vascular occlusion complications
Accidentally injecting filler into or compressing this vessel can block blood flow to various parts of the face, potentially causing tissue necrosis, and in worst-case scenarios, filler blindness through retinal artery occlusion. Even more concerning, complications can occur without direct injection into high-risk areas like the nasal ala, as blood supply connections mean that filler in nasolabial folds can compromise circulation to adjacent tissues.
Early signs of vascular compromise include sudden, intense pain during injection, blanching/whitening of the skin, and dusky discolouration within minutes to hours. Without immediate intervention with hyaluronidase and appropriate emergency protocols, these complications can progress to permanent tissue loss. If it gets this far, surgery is required to fix this.
Common Causes of Nasolabial Fold Filler Gone Wrong
1. Overfilling & Poor Product Placement
The most frequent mistake is an easy one: using too much product or placing it incorrectly. Inexperienced injectors often attempt to completely erase the fold. As we’ve already discussed, this creates an unnatural fullness that projects the midface unnaturally. This over-projection makes patients look puffy, older, and often mouse-like.
2. Inadequate Facial Assessment
Many complications stem from poor patient selection and inadequate facial assessment. Every consultation should start with a thorough assessment of the patient’s facial proportions, bone structure, and volume distribution. This is a non-negotiable. When injectors skip this, they are essentially working blind. You cannot treat patients with a one-size-fits-all mindset. It’s important to address the root causes of the nasolabial folds first. This means treating areas like the cheeks or temples before touching the nasolabial folds with filler product.
3. Ignoring Facial Dynamics
Perhaps most crucially, many nasolabial fold filler treatments ignore how filler affects facial movement and expression. Placing product directly in the subcutaneous plan of the fold can restrict underlying muscle movement, particularly the levator labii superioris alaeque nasi (LLSAN). Patients struggle to elevate their upper lip naturally when smiling or talking, creating what HUB founder and lead instructor Dr MJ calls the ‘Marge Simpson’ effect.
What to Do When Nasolabial Fold Filler Goes Wrong
When nasolabial fold filler goes wrong, correction requires precision that goes far beyond simply dissolving everything with hyaluronidase. At the HUB, we teach advanced correction techniques that target specific problem areas.
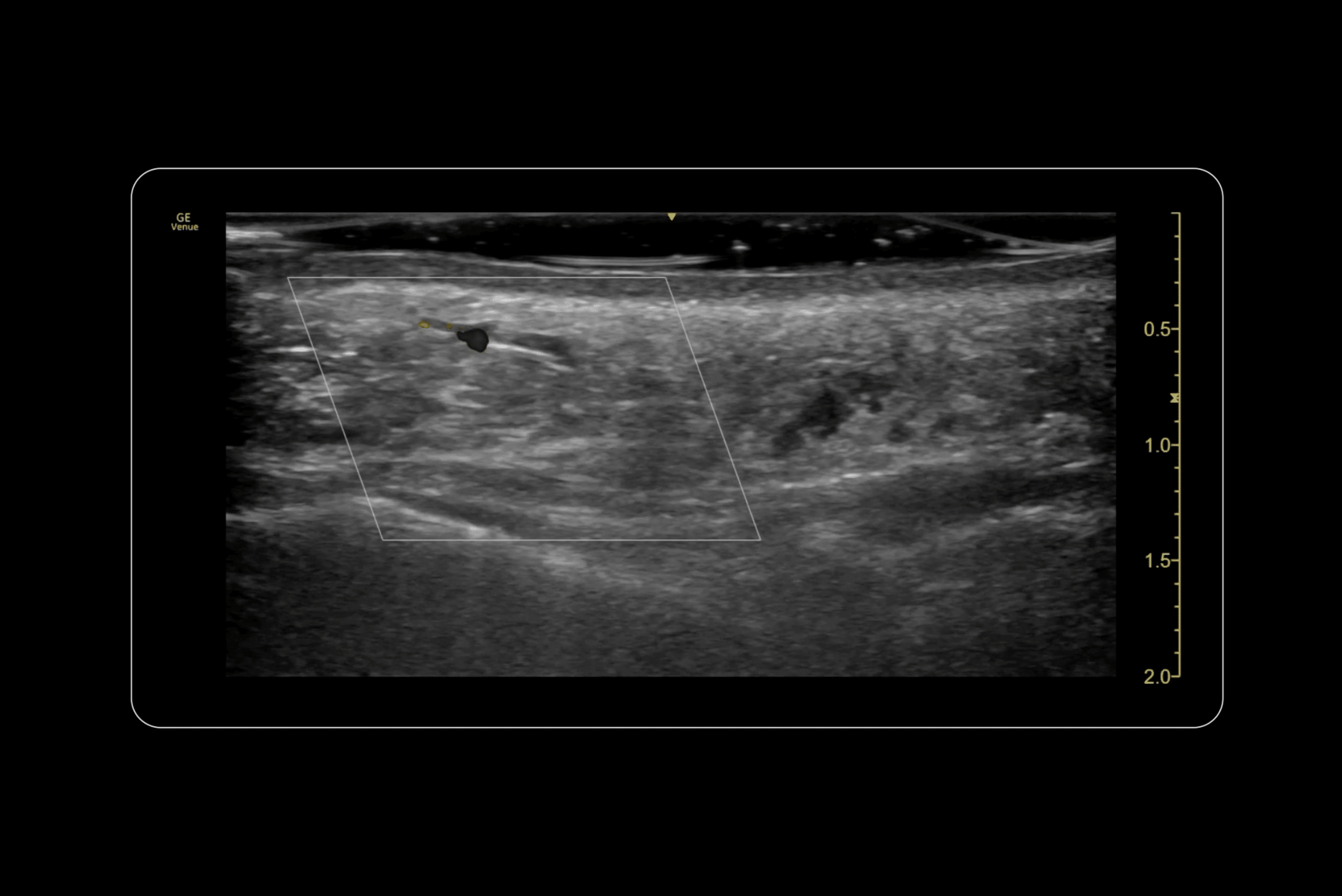
Enjoy this preview of our new Advanced Facial Ultrasound Course, where Dr MJ delves into a case of misplaced nasolabial fold filler To access the full course, enrol today!
Dr MJ demonstrates this precision in our Advanced Facial Ultrasound course, using ultrasound guidance to identify and dissolve specific filler deposits that are causing problems. The technique involves visualising the exact location of unwanted filler, which appears hypoechoic (dark) on ultrasound with posterior acoustic enhancement, confirming its hyaluronic acid composition.
The correction process requires understanding not just where the filler is but why it’s causing problems. Sometimes the tissue is simple overfilling. Other times, filler may be irritating nearby blood vessels, causing hypervascularity and the clinical symptoms patients describe as puffiness and oedema.
Using ultrasound guidance allows practitioners to navigate safely around blood vessels while targeting problematic filler deposits with small amounts of hyaluronidase. Even minimal amounts of the dissolving enzyme can disrupt HA deposits, with immediate visualisation of the structural changes on ultrasound.
How to Treat Nasolabial Folds
The best approach to nasolabial fold complications is preventing them entirely through proper assessment and technique. This starts with understanding that most patients that come to you requesting nasolabial fold filler don’t actually need direct injection into the folds themselves.
The Holistic Approach
Successful nasolabial fold improvement often involves treating everywhere except the folds themselves. Strategic volume replacement in the cheeks, temples, and jawline can dramatically improve nasolabial fold appearance through the optical illusion of facial rebalancing. When you restore volume to the areas surrounding the nasolabial folds, it ends up looking proportionally better.
When Direct Treatment is Appropriate
Sometimes direct nasolabial fold treatment is necessary. If smile lines are still noticeable after facial balancing, you can then treat the nasolabial folds. However, keep it minimal and strategic. Treating just the topmost portion of the fold, at the outer corner of the nostril, often provides significant improvement for the rest of the line while maintaining natural movement and expression.
For cases requiring more extensive treatment, some practitioners use very superficial placement of a thin, soft hyaluronic acid dermal filler along the fold. This creates an ‘airbrushed’ effect rather than full volumisation. This should never be done in isolation. Focusing on the nasolabial folds alone can create odd effects that compromise overall facial harmony.
Sculptra is another good treatment option for treating the folds themselves since these results are more subtle than hyaluronic acid-based fillers and have less risk of looking overdone.

The Importance of Advanced Training
The complexity of nasolabial fold treatment and the serious nature of potential complications highlight just why comprehensive aesthetic training is necessary. Understanding facial anatomy, vascular supply, tissue planes, and facial dynamics isn’t optional knowledge for injectors working in this area.
If you’re still a beginner aesthetic injector, our Foundation Botox & Lip Filler course lays the perfect foundations for aesthetic injecting. All of our courses start with online, theoretical learning so you can come to our hands-on day equipped to start injecting.
It doesn’t stop there. Our Foundation Facial Ultrasound Course and our Advanced Facial Ultrasound Course take injecting to the next level, allowing you to visualise the nasolabial area and understand structures in ways that static diagrams never could. When you see anatomy in real time, your understanding transforms from just theory to truly practical.
For those looking for more in-depth training, we recommend booking a one-to-one mentoring session with Dr MJ. These sessions are 100% customisable, and you’ll receive personalised instruction based on your skill level and goals.
Join us at the HUB today. Let’s shape the future of aesthetic medicine together and ensure safe, effective, and transformative results for every patient.
Want to try out our courses before committing? Take advantage of our free trial for a taste of what learning at the HUB is like.
Related blog posts: